根管问题通常是轻微的,可能包括受影响的牙齿再次感染、牙齿开裂或用于密封牙齿的填充材料破裂。这些问题发展的风险首先取决于根管背后的原因以及患者在手术后保持口腔健康的程度有时在手术开始之前,牙齿内部的损伤程度是无法完全检查的。在这种情况下,根管问题可能无法避免。
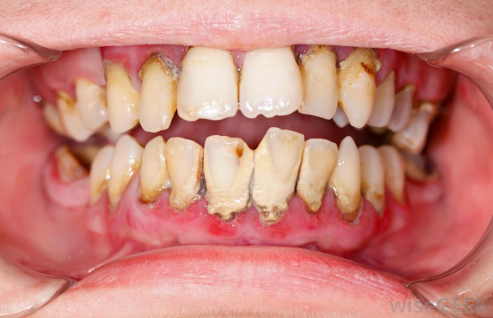
由于口腔健康状况不佳,可能需要进行根管治疗。根管是牙医从受损牙齿、牙龈和神经中移除感染或腐烂组织的手术。这种损伤可能由口腔健康状况差、龋齿和有时是由于过度的牙科手术。当牙齿受损时,细菌会滋生并导致脓肿和其他感染。这些感染必须在根管内清除,以减轻疼痛并防止其扩散到周围组织。
牙齿的继发感染是最常见的感染之一常见的根管问题。最常见的根管问题之一是治疗过的牙齿或附近的一颗牙齿的继发感染。整个过程通常不能一次完成。首先,必须清除感染区域,然后在牙齿和周围牙龈愈合后,在这两个部位之间可能会发生感染,这可能会延长愈合时间并导致多次手术。
抗生素注射可帮助预防根管后的感染另一个最常见的根管问题是使用的密封剂。有时这种密封剂会从牙齿上脱落,这不仅会使牙齿更容易受到感染或损坏,但这也增加了病人的费用,因为封闭剂必须更换。在手术后的几天内,避免用患牙咀嚼可能会有帮助,虽然有时人们无法阻止这种情况的发生。
用盐水漱口可能有助于治疗由脓肿引起的牙齿肿胀。有时牙齿的损伤会比牙医预期的更严重。这会导致额外的根管问题。如果牙齿受到太多的影响由于感染,它可能会碎裂、碎裂或折断。感染有时很普遍,因此需要修复更多的牙齿。有时整个牙齿可能需要全部切除。
定期的牙齿检查有助于减少根管手术的需要。患者可以通过刷牙来防止损伤的发生定期去看牙医做定期检查。在感染的第一个迹象时寻求医疗建议也是很重要的。感染的牙齿或脓肿的症状包括疼痛、肿胀、发红,以及脓液的存在。
牙医用根管切除患病或感染的牙齿的神经和牙髓;术后必须小心牙齿。
口腔健康不佳是需要根管的最常见原因。
定期刷牙可以帮助预防根管问题。








来源:百闻(微信/QQ号:9397569),转载请保留出处和链接!
本文链接:https://www.ibaiwen.com/web/49281.html
猜你喜欢
-
监管人员是做什么的(What Regulatory Officer Do)?
-
什么是低度肿瘤(Low-Grade Neoplasm)?
-
面板生成器是做什么的(What Panel Builder Do)?
-
什么是浆液性乳头状腺癌(Serous Papillary Adenocarcinoma)?
-
什么是呼叫中心工作(Call Center Job)?
-
什么是种子疣(What Seed Warts)?
-
念珠菌病有哪些不同的治疗方法(Different Types of Candidiasis Treatment)?
-
事务协调器是做什么的(What Transaction Coordinator Do)?
-
什么是定量免疫球蛋白(Quantitative Immunoglobulin)?
-
我如何成为人才获取专家(Become a Talent Acquisition Specialist)?
- 热门文章
-
WB蒙特利尔(WB Montreal)——欧美十大最差视频游戏开发商
迅猛龙(Velociraptor)——欧美史前十大死亡动物
什么是果酱猫(What Marmalade Cats)?
神奇蜘蛛侠2(The Amazing Spider-Man 2)——欧美最佳蜘蛛侠电影
faceu激萌怎么把瘦脸开到最大
希瑟(Heather)——欧美十大最佳柯南灰歌
奥兹奥斯本(Ozzy Osbourne)——欧美十大高估歌手
二人梭哈
什么是小脑前下动脉(Anterior Inferior Cerebellar Artery)?
我应该知道康涅狄格州的什么(What Should I Know About Connecticut)?
- 热评文章
- 最新评论
-
- 最近访客
-
- 站点信息
-
- 文章总数:261580
- 页面总数:9
- 分类总数:1
- 标签总数:0
- 评论总数:0
- 浏览总数:74382