肺腺癌是最常见的肺癌类型,而肺癌是全世界发现的最常见的一种癌症。这种肿瘤是由那些排列在呼吸道并产生粘液的细胞中的不受控制的细胞生长引起的,因为它通常起源于周围肺组织,在那里它不太可能发生引起明显的症状,肺腺癌通常直到晚期才被诊断出来,而这一阶段治愈的可能性较小。吸烟被认为是肺癌的主要病因。
腺癌通常采用化疗和放疗相结合的治疗方法。除吸烟外,接触氡气或石棉也会增加人患肺腺癌的风险。这种疾病的症状可能包括呼吸急促、咳嗽不停、咳血和胸痛。更常见的癌症症状,如疲劳和体重减轻,肺腺癌在大多数情况下进展相对缓慢,因此在肿瘤扩散或转移之前,症状可能不会出现,吸烟通常被认为是肺癌的主要病因,当肺腺癌转移时,大约有一半的时间会扩散到大脑,与另一侧的肺一起扩散,肝脏和骨骼是其他可能的部位。诊断腺癌的检查通常包括胸部X光片和支气管镜检查,将一个薄而灵活的望远镜插入肺部,将图像传回给外科医生,并使肺组织的样本能够被移除有时,如果使用支气管镜无法触及肿瘤,则将针头穿过胸壁以获取组织样本。
人体呼吸系统。如果早期发现肺腺癌,可以通过手术切除肿瘤,通常情况下,癌症已经扩散到身体的其他部位,在这种情况下,治疗方法是化疗和放疗,而不是手术。有时,如果使用手术,也会进行化疗,以减少癌症复发的机会。
肺腺癌的症状可能包括呼吸急促和胸痛。不幸的是,即使肺腺癌在早期被诊断出来并被认为已被完全切除,但它也经常复发。当细胞数量很少,太小而无法检测到时,就会发生这种情况,已经扩散或在手术后遗留下来。人们可以通过戒烟来降低患肺腺癌的几率。
早期腺癌通常对手术反应良好。
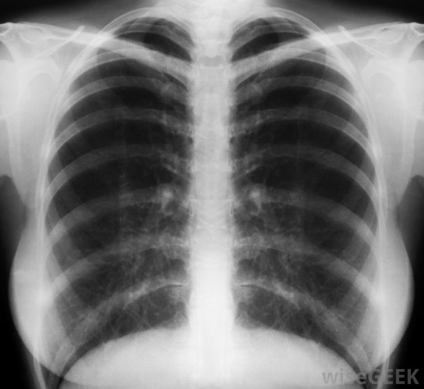
胸部x光片可用于帮助诊断腺癌。
咳嗽不减轻,则表明肺腺癌。
接触石棉会增加肺腺癌的风险。







来源:百闻(微信/QQ号:9397569),转载请保留出处和链接!
本文链接:https://www.ibaiwen.com/web/50113.html
猜你喜欢
-
监管人员是做什么的(What Regulatory Officer Do)?
-
什么是低度肿瘤(Low-Grade Neoplasm)?
-
面板生成器是做什么的(What Panel Builder Do)?
-
什么是浆液性乳头状腺癌(Serous Papillary Adenocarcinoma)?
-
什么是呼叫中心工作(Call Center Job)?
-
什么是种子疣(What Seed Warts)?
-
念珠菌病有哪些不同的治疗方法(Different Types of Candidiasis Treatment)?
-
事务协调器是做什么的(What Transaction Coordinator Do)?
-
什么是定量免疫球蛋白(Quantitative Immunoglobulin)?
-
我如何成为人才获取专家(Become a Talent Acquisition Specialist)?
- 热门文章
-
WB蒙特利尔(WB Montreal)——欧美十大最差视频游戏开发商
迅猛龙(Velociraptor)——欧美史前十大死亡动物
什么是果酱猫(What Marmalade Cats)?
神奇蜘蛛侠2(The Amazing Spider-Man 2)——欧美最佳蜘蛛侠电影
faceu激萌怎么把瘦脸开到最大
希瑟(Heather)——欧美十大最佳柯南灰歌
奥兹奥斯本(Ozzy Osbourne)——欧美十大高估歌手
二人梭哈
什么是小脑前下动脉(Anterior Inferior Cerebellar Artery)?
我应该知道康涅狄格州的什么(What Should I Know About Connecticut)?
- 热评文章
- 最新评论
-
- 最近访客
-
- 站点信息
-
- 文章总数:261580
- 页面总数:9
- 分类总数:1
- 标签总数:0
- 评论总数:0
- 浏览总数:74382